This website uses cookies, which are necessary for the technical operation of the website and are always set. Other cookies, which increase the comfort when using this website, are used for direct advertising or to facilitate interaction with other websites and social networks, are only set with your consent.
Configuration
Technically required
These cookies are necessary for the basic functions of the shop.
"Allow all cookies" cookie
"Decline all cookies" cookie
CSRF token
Cookie preferences
Currency change
Customer-specific caching
FACT-Finder tracking
Individual prices
Selected shop
Session
Comfort functions
These cookies are used to make the shopping experience even more appealing, for example for the recognition of the visitor.
Note
Show the facebook fanpage in the right blod sidebar
Statistics & Tracking
Affiliate program
Conversion and usertracking via Google Tag Manager
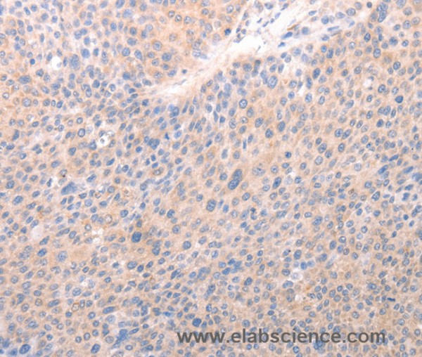
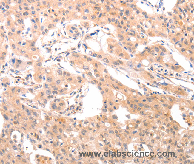
Aconitase 1, also known as iron regulatory element binding protein 1 (IREB1), is a cytosolic protein which binds to iron-responsive elements (IREs). IREs are stem-loop structures found in the 5' UTR of ferritin mRNA, and in the 3' UTR of transferrin receptor mRNA. The iron-induced binding to the IRE results in repression of translation of ferritin mRNA, and inhibition of degradation of the otherwise rapidly degrading transferrin receptor mRNA. Thus, IREB1 plays a central role in cellular iron homeostasis. It was also shown to have aconitase activity, and hence grouped with the aconitase family of enzymes. Protein function: Iron sensor. Binds a 4Fe-4S cluster and functions as aconitase when cellular iron levels are high. Functions as mRNA binding protein that regulates uptake, sequestration and utilization of iron when cellular iron levels are low. Binds to iron-responsive elements (IRES) in target mRNA species when iron levels are low. Binding of a 4Fe-4S cluster precludes RNA binding. [The UniProt Consortium]
Keywords:
Anti-IRP1, Anti-ACO1, Anti-IREB1, Anti-IRE-BP 1, Anti-Aconitase, EC=4.2.1.3, Anti-Citrate hydro-lyase, Anti-Iron regulatory protein 1, Anti-Ferritin repressor protein, Anti-Cytoplasmic aconitate hydratase, Anti-Iron-responsive element-binding protein 1, A
This website uses cookies, which are necessary for the technical operation of the website and are always set. Other cookies, which increase the usability of this website, serve for direct advertising or simplify interaction with other websites and social networks, will only be used with your consent.
More information