Cookie preferences
This website uses cookies, which are necessary for the technical operation of the website and are always set. Other cookies, which increase the comfort when using this website, are used for direct advertising or to facilitate interaction with other websites and social networks, are only set with your consent.
Configuration
Technically required
These cookies are necessary for the basic functions of the shop.
"Allow all cookies" cookie
"Decline all cookies" cookie
CSRF token
Cookie preferences
Currency change
Customer-specific caching
FACT-Finder tracking
Individual prices
Selected shop
Session
Comfort functions
These cookies are used to make the shopping experience even more appealing, for example for the recognition of the visitor.
Note
Show the facebook fanpage in the right blod sidebar
Statistics & Tracking
Affiliate program
Conversion and usertracking via Google Tag Manager
Track device being used
| Item number | Size | Datasheet | Manual | SDS | Delivery time | Quantity | Price |
|---|---|---|---|---|---|---|---|
| 600-401-981S | 25 µl | - | - |
6 - 10 business days* |
180.00€
|
If you have any questions, please use our Contact Form.
You can also order by e-mail: info@biomol.com
Larger quantity required? Request bulk
You can also order by e-mail: info@biomol.com
Larger quantity required? Request bulk
Anti-Heat Shock Protein HSP 90-alpha acetyl specific K294 antibody is directed against human... more
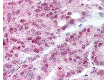
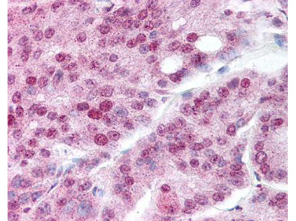
Product information "Anti-?acetyl-?Heat Shock Protein HSP90 alpha (Lys294)"
Anti-Heat Shock Protein HSP 90-alpha acetyl specific K294 antibody is directed against human Hsp90 protein acetylated at K294. The product was affinity purified from monospecific antiserum by immunoaffinity chromatography using acetyl-peptide coupled to agarose beads followed by solid phase adsorption against non-acetyl peptide. While ELISA data show strong reactivity with the acetylated form of the immunizing peptide and minimal reactivity with the non-acetylated form, to date western blotting data are not definitive for acetyl K294 specificity as blots show equivalent staining of lysates from cells either treated or untreated with Trichostatin A (an HDAC inhibitor). A BLAST analysis was used to suggest cross-reactivity with Hsp90 from human, mouse, rat, monkey, chicken and Drosophila based on 100% homology with the immunizing sequence. Reactivity of this antibody with Hsp90 from other species is unknown. Protein function: Molecular chaperone that promotes the maturation, structural maintenance and proper regulation of specific target proteins involved for instance in cell cycle control and signal transduction. Undergoes a functional cycle that is linked to its ATPase activity. This cycle probably induces conformational changes in the client proteins, thereby causing their activation. Interacts dynamically with various co-chaperones that modulate its substrate recognition, ATPase cycle and chaperone function. [The UniProt Consortium]
| Keywords: | Anti-acetyl-HSP86, Anti-acetyl-HSP90A, Anti-acetyl-HSP 86, Anti-acetyl-HSP90AA1, Anti-acetyl-Heat shock 86 kDa, Anti-acetyl-Heat shock protein HSP 90-alpha, Anti-acetyl-Renal carcinoma antigen NY-REN-38 |
| Supplier: | Rockland Immunochemicals |
| Supplier-Nr: | 600-401-981S |
Properties
| Application: | ELISA, IHC, WB |
| Antibody Type: | Polyclonal |
| Conjugate: | No |
| Host: | Rabbit |
| Species reactivity: | human, mouse, rat |
| Immunogen: | synthetic peptide corresponding to amino acids surrounding K294 of human Hsp90. |
| Format: | Purified |
Database Information
| KEGG ID : | K04079 | Matching products |
| UniProt ID : | P07900 | Matching products |
| Gene ID : | GeneID 3320 | Matching products |
Handling & Safety
| Storage: | -20°C |
| Shipping: | -20°C (International: -20°C) |
Caution
Our products are for laboratory research use only: Not for administration to humans!
Our products are for laboratory research use only: Not for administration to humans!
Information about the product reference will follow.
more
You will get a certificate here
Viewed