Cookie preferences
This website uses cookies, which are necessary for the technical operation of the website and are always set. Other cookies, which increase the comfort when using this website, are used for direct advertising or to facilitate interaction with other websites and social networks, are only set with your consent.
Configuration
Technically required
These cookies are necessary for the basic functions of the shop.
"Allow all cookies" cookie
"Decline all cookies" cookie
CSRF token
Cookie preferences
Currency change
Customer-specific caching
FACT-Finder tracking
Individual prices
Selected shop
Session
Comfort functions
These cookies are used to make the shopping experience even more appealing, for example for the recognition of the visitor.
Note
Show the facebook fanpage in the right blod sidebar
Statistics & Tracking
Affiliate program
Conversion and usertracking via Google Tag Manager
Track device being used
| Item number | Size | Datasheet | Manual | SDS | Delivery time | Quantity | Price |
|---|---|---|---|---|---|---|---|
| E-AN300092P.20 | 20 µl | - |
7 - 16 business days* |
182.00€
|
|||
| E-AN300092P.100 | 100 µl | - |
7 - 16 business days* |
462.00€
|
If you have any questions, please use our Contact Form.
You can also order by e-mail: info@biomol.com
Larger quantity required? Request bulk
You can also order by e-mail: info@biomol.com
Larger quantity required? Request bulk
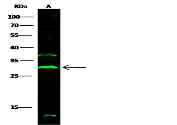
CD244, known as 2B4, is a 38 kD type I transmembrane protein. It is a member of the CD2 subset of... more
Product information "Anti-2B4/CD244 Monoclonal Recombinant Antibody"
CD244, known as 2B4, is a 38 kD type I transmembrane protein. It is a member of the CD2 subset of the immunoglobulin superfamily (IgSF) molecules. CD244 is expressed on NK cells, a subset of T cells (including most CD8+ T cells and gamma/delta T cells), monocytes, basophils, and eosinophils. CD48 is the ligand of CD244. It has been reported that ligation of human CD244 results in enhanced NK cell cytotoxicity and cytokine production. Recent studies have shown that human CD244, like murine CD244, has both activating and inhibitory functions, which are dependent on the density of surface 2B4 expression, degree of ligation, and the level of the adaptor molecule SAP expression. Protein function: Heterophilic receptor of the signaling lymphocytic activation molecule (SLAM) family, its ligand is CD48. SLAM receptors triggered by homo- or heterotypic cell-cell interactions are modulating the activation and differentiation of a wide variety of immune cells and thus are involved in the regulation and interconnection of both innate and adaptive immune response. Activities are controlled by presence or absence of small cytoplasmic adapter proteins, SH2D1A/SAP and/or SH2D1B/EAT-2. Acts as activating natural killer (NK) cell receptor (PubMed:10359122, PubMed:11714776, PubMed:8376943). Activating function implicates association with SH2D1A and FYN (PubMed:15713798). Downstreaming signaling involves predominantly VAV1, and, to a lesser degree, INPP5D/SHIP1 and CBL. Signal attenuation in the absence of SH2D1A is proposed to be dependent on INPP5D and to a lesser extent PTPN6/SHP-1 and PTPN11/SHP-2 (PubMed:10934222, PubMed:15713798). Stimulates NK cell cytotoxicity, production of IFN-gamma and granule exocytosis (PubMed:11714776, PubMed:8376943). Optimal expansion and activation of NK cells seems to be dependent on the engagement of CD244 with CD48 expressed on neighboring NK cells. Acts as costimulator in NK activation by enhancing signals by other NK receptors such as NCR3 and NCR1 (PubMed:10741393). At early stages of NK cell differentiation may function as an inhibitory receptor possibly ensuring the self-tolerance of developing NK cells (PubMed:11917118). Involved in the regulation of CD8(+) T-cell proliferation, expression on activated T-cells and binding to CD48 provides costimulatory-like function for neighboring T-cells. Inhibits inflammatory responses in dendritic cells (DCs). [The UniProt Consortium]
| Keywords: | 2B4, NAIL, h2B4, CD244, SLAMF4, NKR2B4, SLAM family member 4, Natural killer cell receptor 2B4, NK cell activation-inducing ligand, NK cell type I receptor protein 2B4, Signaling lymphocytic activation molecule 4, Recombinant 2B4/CD244 Monoclonal Antibody |
| Supplier: | Elabscience |
| Supplier-Nr: | E-AN300092P |
Properties
| Application: | WB, IP |
| Antibody Type: | Monoclonal |
| Clone: | 6H3 |
| Conjugate: | No |
| Host: | Rabbit |
| Species reactivity: | human |
| Immunogen: | Recombinant Human 2B4 / CD244 protein |
| Format: | Purified |
Database Information
| KEGG ID : | K06582 | Matching products |
| UniProt ID : | Q9BZW8 | Matching products |
| Gene ID : | GeneID 51744 | Matching products |
Handling & Safety
| Storage: | +4°C (avoid repeat freezing and thawing cycles) |
| Shipping: | +4°C (International: +4°C) |
| Signal Word: | Warning |
| GHS Hazard Pictograms: |
|
| H Phrases: | H317 |
| P Phrases: | P261, P272, P280, P302+352, P333+313 |
Caution
Our products are for laboratory research use only: Not for administration to humans!
Our products are for laboratory research use only: Not for administration to humans!
Information about the product reference will follow.
more
You will get a certificate here
Viewed