Cookie preferences
This website uses cookies, which are necessary for the technical operation of the website and are always set. Other cookies, which increase the comfort when using this website, are used for direct advertising or to facilitate interaction with other websites and social networks, are only set with your consent.
Configuration
Technically required
These cookies are necessary for the basic functions of the shop.
"Allow all cookies" cookie
"Decline all cookies" cookie
CSRF token
Cookie preferences
Currency change
Customer-specific caching
FACT-Finder tracking
Individual prices
Selected shop
Session
Comfort functions
These cookies are used to make the shopping experience even more appealing, for example for the recognition of the visitor.
Note
Show the facebook fanpage in the right blod sidebar
Statistics & Tracking
Affiliate program
Conversion and usertracking via Google Tag Manager
Track device being used
| Item number | Size | Datasheet | Manual | SDS | Delivery time | Quantity | Price |
|---|---|---|---|---|---|---|---|
| 012-001-W20-0100 | 100 µg | - | - |
6 - 10 business days* |
949.00€
|
If you have any questions, please use our Contact Form.
You can also order by e-mail: info@biomol.com
Larger quantity required? Request bulk
You can also order by e-mail: info@biomol.com
Larger quantity required? Request bulk
Stem Cell Factor purity was determined to be greater than 98% as determined by analysis by... more
Product information "Stem Cell Factor"
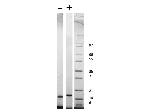
Stem Cell Factor purity was determined to be greater than 98% as determined by analysis by UV-Spectroscopy at 280nm and by reducing and non-reducing SDS-pAGE. Protein function: Ligand for the receptor-type protein-tyrosine kinase KIT. Plays an essential role in the regulation of cell survival and proliferation, hematopoiesis, stem cell maintenance, gametogenesis, mast cell development, migration and function, and in melanogenesis. KITLG/SCF binding can activate several signaling pathways. Promotes phosphorylation of PIK3R1, the regulatory subunit of phosphatidylinositol 3-kinase, and subsequent activation of the kinase AKT1. KITLG/SCF and KIT also transmit signals via GRB2 and activation of RAS, RAF1 and the MAP kinases MAPK1/ERK2 and/or MAPK3/ERK1. KITLG/SCF and KIT promote activation of STAT family members STAT1, STAT3 and STAT5. KITLG/SCF and KIT promote activation of PLCG1, leading to the production of the cellular signaling molecules diacylglycerol and inositol 1,4,5- trisphosphate. KITLG/SCF acts synergistically with other cytokines, probably interleukins. [The UniProt Consortium]
| Keywords: | Kitl, Kitlg |
| Supplier: | Rockland Immunochemicals |
| Supplier-Nr: | 012-001-W20-0100 |
Properties
| Application: | Cell culture |
| Conjugate: | No |
| Host: | E.coli |
| Species reactivity: | rat |
Database Information
| KEGG ID : | K05461 | Matching products |
| UniProt ID : | P21581 | Matching products |
| Gene ID : | GeneID 60427 | Matching products |
Handling & Safety
| Storage: | +4°C |
| Shipping: | +20°C (International: +20°C) |
Caution
Our products are for laboratory research use only: Not for administration to humans!
Our products are for laboratory research use only: Not for administration to humans!
Information about the product reference will follow.
more
You will get a certificate here
Viewed