Nerve Growth Factor beta

Item number Size Datasheet Manual SDS Delivery time Quantity Price
010-001-W03-0005 5 µg - -

6 - 10 business days*

186.00€
 
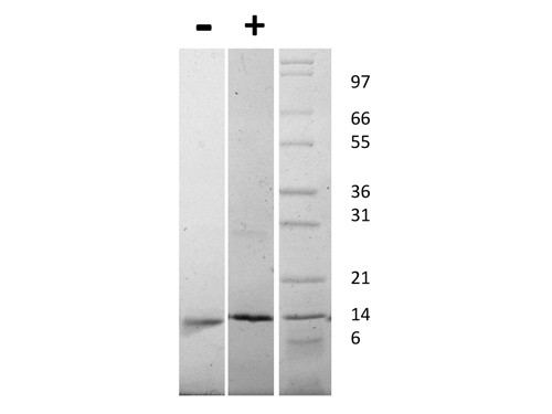
Nerve Growth Factor beta purity was determined to be greater than 95% as determined by HpLC,... more
Product information "Nerve Growth Factor beta"
Nerve Growth Factor beta purity was determined to be greater than 95% as determined by HpLC, analysis by UV-Spectroscopy at 280nm, and by reducing and non-reducing SDS-pAGE. Protein function: Nerve growth factor is important for the development and maintenance of the sympathetic and sensory nervous systems. Extracellular ligand for the NTRK1 and NGFR receptors, activates cellular signaling cascades through those receptor tyrosine kinase to regulate neuronal proliferation, differentiation and survival. Inhibits metalloproteinase dependent proteolysis of platelet glycoprotein VI. [The UniProt Consortium]
Keywords: Ngf, Ngfb, Beta-NGF, Beta-nerve growth factor
Supplier: Rockland Immunochemicals
Supplier-Nr: 010-001-W03-0005

Properties

Application: Cell culture
Conjugate: No
Host: E.coli
Species reactivity: mouse

Handling & Safety

Storage: +4°C
Shipping: +20°C (International: +20°C)
Caution
Our products are for laboratory research use only: Not for administration to humans!
You will get a certificate here
or to request a certificate of analysis.
Read, write and discuss reviews... more
Customer review for "Nerve Growth Factor beta"
Write a review
or to review a product.
Viewed