Interleukin-17AF Heterodimer

Item number Size Datasheet Manual SDS Delivery time Quantity Price
012-001-V56-0025 25 µg - -

6 - 10 business days*

445.00€
 
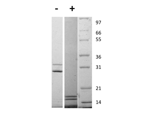
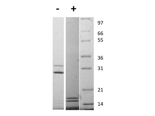
Interleukin-17AF Heterodimer purity was determined to be greater than 98% as determined by HpLC,... more
Product information "Interleukin-17AF Heterodimer"
Interleukin-17AF Heterodimer purity was determined to be greater than 98% as determined by HpLC, analysis by UV-Spectroscopy at 280nm, and by reducing and non-reducing SDS-pAGE. Protein function: Induces stromal cells to produce proinflammatory and hematopoietic cytokines. [The UniProt Consortium]
Keywords: Il17a, IL-17, Ctla8, IL-17A, CTLA-8, Interleukin-17A, Cytotoxic T-lymphocyte-associated antigen 8
Supplier: Rockland Immunochemicals
Supplier-Nr: 012-001-V56-0025

Properties

Application: Cell culture
Conjugate: No
Host: E.coli
Species reactivity: rat

Database Information

UniProt ID : Q61453 | Matching products

Handling & Safety

Storage: +4°C
Shipping: +20°C (International: +20°C)
Caution
Our products are for laboratory research use only: Not for administration to humans!
You will get a certificate here
or to request a certificate of analysis.
Read, write and discuss reviews... more
Customer review for "Interleukin-17AF Heterodimer"
Write a review
or to review a product.
Viewed