Cookie preferences
This website uses cookies, which are necessary for the technical operation of the website and are always set. Other cookies, which increase the comfort when using this website, are used for direct advertising or to facilitate interaction with other websites and social networks, are only set with your consent.
Configuration
Technically required
These cookies are necessary for the basic functions of the shop.
"Allow all cookies" cookie
"Decline all cookies" cookie
CSRF token
Cookie preferences
Currency change
Customer-specific caching
FACT-Finder tracking
Individual prices
Selected shop
Session
Comfort functions
These cookies are used to make the shopping experience even more appealing, for example for the recognition of the visitor.
Note
Show the facebook fanpage in the right blod sidebar
Statistics & Tracking
Affiliate program
Conversion and usertracking via Google Tag Manager
Track device being used
If you have any questions, please use our Contact Form.
You can also order by e-mail: info@biomol.com
Larger quantity required? Request bulk
You can also order by e-mail: info@biomol.com
Larger quantity required? Request bulk
Organism: Homo sapiens (Human). Source: Mammalian cell. Expression Region: 26-136aa. Protein... more
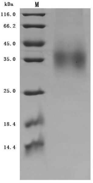
Product information "Glucagon receptor (GCGR), partial (Active), human, recombinant"
Organism: Homo sapiens (Human). Source: Mammalian cell. Expression Region: 26-136aa. Protein Length: Partial. Tag Info: N-terminal 10xHis-tagged and C-terminal Myc-tagged. Target Protein Sequence: AQVMDFLFEK WKLYGDQCHH NLSLLPPPTE LVCNRTFDKY SCWPDTPANT TANISCPWYL PWHHKVQHRF VFKRCGPDGQ WVRGPRGQPW RDASQCQMDG EEIEVQKEVA K. Purity: Greater than 95% as determined by SDS-PAGE. Endotoxin: Less than 1.0 EU/ug as determined by LAL method. Biological Activity: Measured by its binding ability in a functional ELISA. Immobilized human GCGR at 2 µg/mL can bind Anti-GCGR recombinant antibody (CSB-RA009316A1HU), the EC50 is 3.747-6.666 ng/mL. Form: Lyophilized powder. Buffer: Lyophilized from a 0.2 µm filtered 20 mM Tris-HCl, 0.5 M NaCl, 6% Trehalose, pH 8.0. Reconstitution: We recommend that this vial be briefly centrifuged prior to opening to bring the contents to the bottom. Please reconstitute protein in deionized sterile water to a concentration of 0.1-1.0 mg/mL.We recommend to add 5-50% of glycerol (final concentration) and aliquot for long-term storage at -20 °C/-80 °C. Our default final concentration of glycerol is 50%. Customers could use it as reference. Storage: The shelf life is related to many factors, storage state, buffer ingredients, storage temperature and the stability of the protein itself. Generally, the shelf life of liquid form is 6 months at -20 °C/-80 °C. The shelf life of lyophilized form is 12 months at -20 °C/-80 °C. Notes: Repeated freezing and thawing is not recommended. Store working aliquots at 4 °C for up to one week. Relevance: G-protein coupled receptor for glucagon that plays a central role in the regulation of blood glucose levels and glucose homeostasis. Regulates the rate of hepatic glucose production by promoting glycogen hydrolysis and gluconeogenesis. Plays an important role in mediating the responses to fasting. Ligand binding causes a conformation change that triggers signaling via guanine nucleotide-binding proteins and modulates the activity of down-stream effectors, such as adenylate cyclase. Promotes activation of adenylate cyclase. Besides, plays a role in signaling via a phosphatidylinositol-calcium second messenger system. Reference: "Conformational dimorphism of self-peptides and molecular mimicry in a disease-associated HLA-B27 subtype." Ruckert C., Fiorillo M.T., Loll B., Moretti R., Biesiadka J., Saenger W., Ziegler A., Sorrentino R., Uchanska-Ziegler B. J. Biol. Chem. 281:2306-2316(2006). Function: nan
| Keywords: | GCGR, GL-R, Glucagon receptor, Recombinant Human Glucagon receptor (GCGR), partial (Active) |
| Supplier: | Cusabio |
| Supplier-Nr: | MP009316HU1 |
Properties
| Application: | Active protein |
| Conjugate: | No |
| Host: | Mammalian cells |
| Species reactivity: | human |
| MW: | 18.1 kD |
| Purity: | >95% (SDS-PAGE) |
| Format: | Lyophilized |
Database Information
| KEGG ID : | K04583 | Matching products |
| UniProt ID : | P47871 | Matching products |
| Gene ID : | GeneID 2642 | Matching products |
Handling & Safety
| Storage: | -20°C |
| Shipping: | +4°C (International: +4°C) |
Caution
Our products are for laboratory research use only: Not for administration to humans!
Our products are for laboratory research use only: Not for administration to humans!
You will get a certificate here
Viewed