Cookie preferences
This website uses cookies, which are necessary for the technical operation of the website and are always set. Other cookies, which increase the comfort when using this website, are used for direct advertising or to facilitate interaction with other websites and social networks, are only set with your consent.
Configuration
Technically required
These cookies are necessary for the basic functions of the shop.
"Allow all cookies" cookie
"Decline all cookies" cookie
CSRF token
Cookie preferences
Currency change
Customer-specific caching
FACT-Finder tracking
Individual prices
Selected shop
Session
Comfort functions
These cookies are used to make the shopping experience even more appealing, for example for the recognition of the visitor.
Note
Show the facebook fanpage in the right blod sidebar
Statistics & Tracking
Affiliate program
Conversion and usertracking via Google Tag Manager
Track device being used
If you intend to use this Cytion cell line solely for internal research at a single research site, please complete and sign the Material Transfer Agreement (MTA) and submit it along with your order. For any commercial applications – including but not limited to fee-for-service work, quality control testing, product release, diagnostic use, or regulatory studies – please complete the Intended Use Form so we can prepare a suitable agreement tailored to your project.
| Item number | Size | Datasheet | Manual | SDS | Delivery time | Quantity | Price |
|---|---|---|---|---|---|---|---|
| CYT-300198 | 1 each | - |
5-10 business days* |
430.00€
|
If you have any questions, please use our Contact Form.
You can also order by e-mail: info@biomol.com
Larger quantity required? Request bulk
You can also order by e-mail: info@biomol.com
Larger quantity required? Request bulk
Categories: Liver cancer cell lines Description: HepG2 cells, a hepatoblastoma cell line, are a... more
Product information "HepG2 Cells"
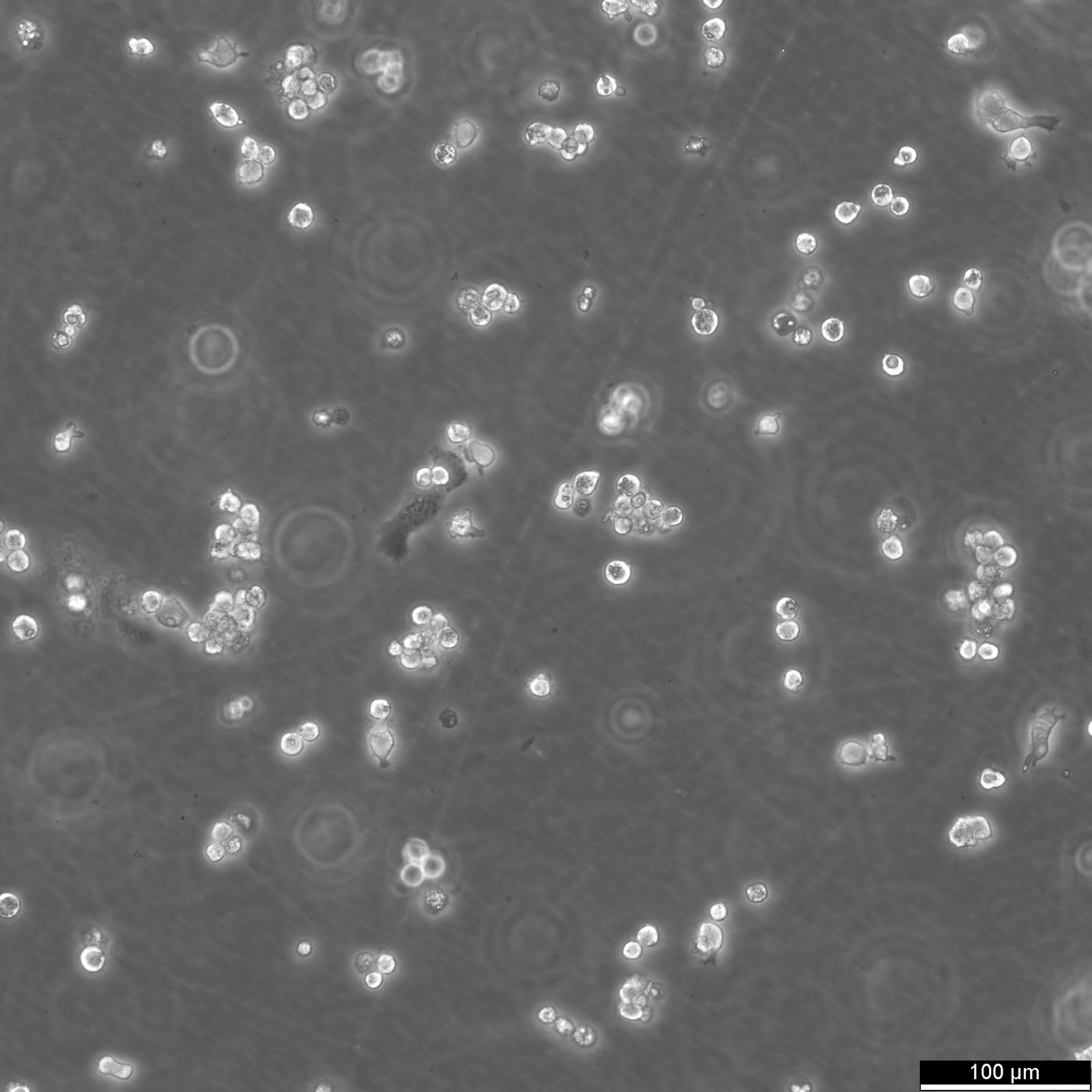
Categories: Liver cancer cell lines Description: HepG2 cells, a hepatoblastoma cell line, are a cornerstone in biological science, particularly in liver cancer research. The HepG2 cell line was first isolated in 1975 and initially misclassified as hepatocellular carcinoma, with the HepG2 cell line origin as hepatoblastoma being recognized later, clarifying years of scientific ambiguity. Human hepatic cell lines such as HepG2 are commonly used as in vitro models for primary human hepatocytes. These cell lines offer advantages such as indefinite proliferation, stable phenotype, easy accessibility, and ease of manipulation. However, they exhibit reduced expression of some metabolic functions compared to primary hepatocytes. Derived from hepatocellular carcinoma, HepG2 cells proliferate quickly and have an epithelial-like morphology, performing many specialized hepatic functions. Despite these differences, HepG2 cells are widely used in studying drug metabolism and toxicity, thanks to their resemblance to hepatocellular carcinoma and hepatoblastoma cells in terms of drug metabolism and transport proteins. HepG2 is a human liver cancer cell line often used in research, including studies on drug metabolism and toxicity. However, one of the limitations of hepatoma HepG2 cells is their altered expression of certain liver-specific functions, including the expression of cytochrome P450 enzymes. Cytochrome P450 enzymes are essential for the metabolism of xenobiotics (foreign compounds such as drugs and carcinogens) in the liver. The altered or reduced expression of these enzymes in HepG2 cells can affect their ability to accurately model the metabolism and elimination of xenobiotics, which is a critical aspect of liver function. The HepG2 cell line, alongside other hepatoma cell lines such as the Hep3B and human hepatoma HepaRG cell lines, contributes to a broader understanding of human liver carcinoma cells. The cell line stands out for its versatility, serving as an optimal choice for stable cell line generation, transfection studies, drug metabolism, and hepatotoxicity studies. Furthermore, the HepG2 cell line is pivotal in a range of applications, from 3D cell culture to high-throughput screening and toxicology. Organism: Human Tissue: Liver Disease: Hepatocellular carcinoma Synonyms: HEP-G2, Hep G2, HEP G2, Hep-G2, HEPG2 Age: 15 years Gender: Male Ethnicity: Caucasian Morphology: Epithelial-like Growth Properties: Adherent Citation: HepG2 (Cytion catalog number 300198) Biosafety Level: 1 Ncbi_ Taxid: 9606.0 Cellosaurus Accession: CVCL_0027 Receptors Expressed: insulin, insulin-like growth factor II (IGF II) Protein Expression: p53 positive Tumorigenic: no Products: Albumin, alpha-fetoprotein (alpha fetoprotein), alpha1 acid glycoprotein (alpha-1 acid glycoprotein), alpha1 antitrypsin (alpha-1-antitrypsin), alpha1 antichymotrypsin, (alpha-1-antichymotrypsin), alpha2 HS glycoprotein (alpha-2-HS- glycoprotein), alpha2 macroglobulin (alpha-2-macroglobulin), beta lipoprotein (beta-lipoprotein), ceruloplasmin, C4 and C3 activator, fibrinogen, haptoglobin, plasminogen, retinol binding protein (retinolbinding protein), transferrin Karyotype: modal number = 55 (range = 50 to 60), has a rearranged chromosome 1 Culture Medium: Ham's F12, w: 1.0 mM stable Glutamine, w: 1.0 mM Sodium pyruvate, w: 1.1 g/L NaHCO3 (Cytion article number 820600a) Supplements: Supplement the medium with 10% FBS Dissociation Reagent: Accutase Doubling Time: 48 hours Subculturing: Remove the old medium from the adherent cells and wash them with PBS that lacks calcium and magnesium. For T25 flasks, use 3-5 ml of PBS, and for T75 flasks, use 5-10 ml. Then, cover the cells completely with Accutase, using 1-2 ml for T25 flasks and 2.5 ml for T75 flasks. Let the cells incubate at room temperature for 8-10 minutes to detach them. After incubation, gently mix the cells with 10 ml of medium to resuspend them, then centrifuge at 300xg for 3 minutes. Discard the supernatant, resuspend the cells in fresh medium, and transfer them into new flasks that already contain fresh medium. Seeding Density: 2 to 3 x 104 cells/cm2 during routine culture Fluid Renewal: 2 to 3 times per week Post Thaw Recovery: Start culture using the complete contents of the cryovial in 2xT25 cell culture flasks. The cells will recover within 48 to 72 hours. Freeze Medium: As a cryopreservation medium, use complete growth medium (including FBS) + 10% DMSO for adequate post-thaw viability, or CM-1 (Cytion catalog number 800100), which includes optimized osmoprotectants and metabolic stabilizers to enhance recovery and reduce cryo-induced stress. Thawing And Culturing Cells: Confirm that the vial remains deeply frozen upon delivery, as cells are shipped on dry ice to maintain optimal temperatures during transit. Upon receipt, either store the cryovial immediately at temperatures below -150°C to ensure the preservation of cellular integrity, or proceed to step 3 if immediate culturing is required. For immediate culturing, swiftly thaw the vial by immersing it in a 37°C water bath with clean water and an antimicrobial agent, agitating gently for 40-60 seconds until a small ice clump remains. Perform all subsequent steps under sterile conditions in a flow hood, disinfecting the cryovial with 70% ethanol before opening. Carefully open the disinfected vial and transfer the cell suspension into a 15 ml centrifuge tube containing 8 ml of room-temperature culture medium, mixing gently. Centrifuge the mixture at 300 x g for 3 minutes to separate the cells and carefully discard the supernatant containing residual freezing medium. Gently resuspend the cell pellet in 10 ml of fresh culture medium. For adherent cells, divide the suspension between two T25 culture flasks, for suspension cultures, transfer all the medium into one T25 flask to promote effective cell interaction and growth. Adhere to established subculture protocols for continued growth and maintenance of the cell line, ensuring reliable experimental outcomes. Sterility: Mycoplasma contamination is excluded using both PCR-based assays and luminescence-based mycoplasma detection methods. To ensure there is no bacterial, fungal, or yeast contamination, cell cultures are subjected to daily visual inspections. Safety Precautions: When planning to store a cryovial in liquid nitrogen for future thawing, it is mandatory to adhere to stringent safety measures. Appropriate protective gloves and clothing are essential, and the use of a face mask or safety goggles is required during the transfer of frozen samples to or from the liquid nitrogen tank. This is to mitigate the risk of injury from potential cryovial explosions upon removal, which can result in the projection of sharp fragments. Warranty: We stand by the promise of delivering products with high cell viability and robust culture performance. To achieve the best results, please make sure you follow the storage and culture instructions detailed in the product information sheet closely. Your adherence to these guidelines is key to success. Subject To Material Transfer Agreements: If you intend to use Cytion cell lines solely for internal research at a single research site, please complete and sign our Material Transfer Agreement (MTA) and submit it along with your order.For any commercial applications - including but not limited to fee-for-service work, quality control testing, product release, diagnostic use, or regulatory studies - please complete the Intended Use Form so we can prepare a suitable agreement tailored to your project.Please note: The MTA applies only to certain cell lines. If this notice and the MTA document appear on a product page, the agreement is applicable. For cell lines not covered by the MTA, no reference to the agreement will be shown. The MTA is not valid for customers in the Americas, China, or Taiwan. Please contact our U.S. entity to receive the appropriate agreement. Required Product 1: 820600a Required Product 3: 860015.0 Required Product 4: 830100.0
| Supplier: | Cytion |
| Supplier-Nr: | 300198 |
Properties
| Host: | Human |
| Species reactivity: | human |
Database Information
Handling & Safety
| Storage: | Liquid nitrogen |
| Shipping: | -80°C (International: -80°C) |
Caution
Our products are for laboratory research use only: Not for administration to humans!
Our products are for laboratory research use only: Not for administration to humans!
You will get a certificate here
Viewed