Cookie-Einstellungen
Diese Website benutzt Cookies, die für den technischen Betrieb der Website erforderlich sind und stets gesetzt werden. Andere Cookies, die den Komfort bei Benutzung dieser Website erhöhen, der Direktwerbung dienen oder die Interaktion mit anderen Websites und sozialen Netzwerken vereinfachen sollen, werden nur mit Ihrer Zustimmung gesetzt.
Konfiguration
Technisch erforderlich
Diese Cookies sind für die Grundfunktionen des Shops notwendig.
"Alle Cookies ablehnen" Cookie
"Alle Cookies annehmen" Cookie
Ausgewählter Shop
CSRF-Token
Cookie-Einstellungen
FACT-Finder Tracking
Individuelle Preise
Kundenspezifisches Caching
Session
Währungswechsel
Komfortfunktionen
Diese Cookies werden genutzt um das Einkaufserlebnis noch ansprechender zu gestalten, beispielsweise für die Wiedererkennung des Besuchers.
Facebook-Seite in der rechten Blog - Sidebar anzeigen
Merkzettel
Statistik & Tracking
Endgeräteerkennung
Kauf- und Surfverhalten mit Google Tag Manager
Partnerprogramm
| Artikelnummer | Größe | Datenblatt | Manual | SDB | Lieferzeit | Menge | Preis |
|---|---|---|---|---|---|---|---|
| IHC-00015-T | 10 µl (1 µg) | - |
2 - 8 Werktage* |
165,00 €
|
|||
| IHC-00015 | 100 µl (10 µg) | - |
2 - 8 Werktage* |
664,00 €
|
Bei Fragen nutzen Sie gerne unser Kontaktformular.
Bestellen Sie auch per E-Mail: info@biomol.com
Größere Menge gewünscht? Bulk-Anfrage
Bestellen Sie auch per E-Mail: info@biomol.com
Größere Menge gewünscht? Bulk-Anfrage
Protein function: Acts as component of the MCM2-7 complex (MCM complex) which is the putative... mehr
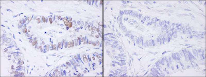
Produktinformationen "Anti-phospho-MCM2 (Ser41) (IHC)"
Protein function: Acts as component of the MCM2-7 complex (MCM complex) which is the putative replicative helicase essential for 'once per cell cycle' DNA replication initiation and elongation in eukaryotic cells. The active ATPase sites in the MCM2-7 ring are formed through the interaction surfaces of two neighboring subunits such that a critical structure of a conserved arginine finger motif is provided in trans relative to the ATP-binding site of the Walker A box of the adjacent subunit. The six ATPase active sites, however, are likely to contribute differentially to the complex helicase activity. Required for the entry in S phase and for cell division. Plays a role in terminally differentiated hair cells development of the cochlea and induces cells apoptosis. [The UniProt Consortium]
| Schlagworte: | Anti-phospho-BM28, Anti-phospho-MCM2, EC=3.6.4.12, Anti-phospho-Nuclear protein BM28, Anti-phospho-DNA replication licensing factor MCM2, Anti-phospho-Minichromosome maintenance protein 2 homolog |
| Hersteller: | Bethyl Laboratories |
| Hersteller-Nr: | IHC-00015 |
Eigenschaften
| Anwendung: | IHC |
| Antikörper-Typ: | Polyclonal |
| Konjugat: | No |
| Wirt: | Rabbit |
| Spezies-Reaktivität: | human, mouse (Erwartet: rat, X. laevis, X. tropicalis, bovine, dog, horse, rabbit, guinea pig, swine, panda, orangutan, rhesus monkey, gorilla, chimpanzee, west indian ocean coelacanth, duckbill platypus, tasmanian devil, little brown bat) |
| Immunogen: | synthetic peptide. Immunogen for IHC-00015 was a synthetic phosphorylated peptide, which represented a portion of human Minichromosomal Maintenance Deficient 2 surrounding Serine 41 according to the numbering given in entry NP_0045117.2 (GeneID 4171). |
| Format: | Antigen Affinity Purified |
Datenbank Information
| KEGG ID : | K02540 | Passende Produkte |
| UniProt ID : | P49736 | Passende Produkte |
| Gene ID : | GeneID 4171 | Passende Produkte |
Handhabung & Sicherheit
| Lagerung: | +4°C |
| Versand: | +4°C (International: +4°C) |
Achtung
Nur für Forschungszwecke und Laboruntersuchungen: Nicht für die Anwendung im oder am Menschen!
Nur für Forschungszwecke und Laboruntersuchungen: Nicht für die Anwendung im oder am Menschen!
Hier folgen Informationen zur Produktreferenz.
mehr
Hier kriegen Sie ein Zertifikat
Loggen Sie sich ein oder registrieren Sie sich, um Analysenzertifikate anzufordern.
Bewertungen lesen, schreiben und diskutieren... mehr
Kundenbewertungen für "Anti-phospho-MCM2 (Ser41) (IHC)"
Bewertung schreiben
Loggen Sie sich ein oder registrieren Sie sich, um eine Produktbewertung abzugeben.
Zuletzt angesehen