Cookie-Einstellungen
Diese Website benutzt Cookies, die für den technischen Betrieb der Website erforderlich sind und stets gesetzt werden. Andere Cookies, die den Komfort bei Benutzung dieser Website erhöhen, der Direktwerbung dienen oder die Interaktion mit anderen Websites und sozialen Netzwerken vereinfachen sollen, werden nur mit Ihrer Zustimmung gesetzt.
Konfiguration
Technisch erforderlich
Diese Cookies sind für die Grundfunktionen des Shops notwendig.
"Alle Cookies ablehnen" Cookie
"Alle Cookies annehmen" Cookie
Ausgewählter Shop
CSRF-Token
Cookie-Einstellungen
FACT-Finder Tracking
Individuelle Preise
Kundenspezifisches Caching
Session
Währungswechsel
Komfortfunktionen
Diese Cookies werden genutzt um das Einkaufserlebnis noch ansprechender zu gestalten, beispielsweise für die Wiedererkennung des Besuchers.
Facebook-Seite in der rechten Blog - Sidebar anzeigen
Merkzettel
Statistik & Tracking
Endgeräteerkennung
Kauf- und Surfverhalten mit Google Tag Manager
Partnerprogramm
| Artikelnummer | Größe | Datenblatt | Manual | SDB | Lieferzeit | Menge | Preis |
|---|---|---|---|---|---|---|---|
| A304-278A-T | 10 µl (10 µg) | - |
2 - 8 Werktage* |
165,00 €
|
|||
| A304-278A | 100 µl (100 µg) | - |
2 - 8 Werktage* |
586,00 €
|
Bei Fragen nutzen Sie gerne unser Kontaktformular.
Bestellen Sie auch per E-Mail: info@biomol.com
Größere Menge gewünscht? Bulk-Anfrage
Bestellen Sie auch per E-Mail: info@biomol.com
Größere Menge gewünscht? Bulk-Anfrage
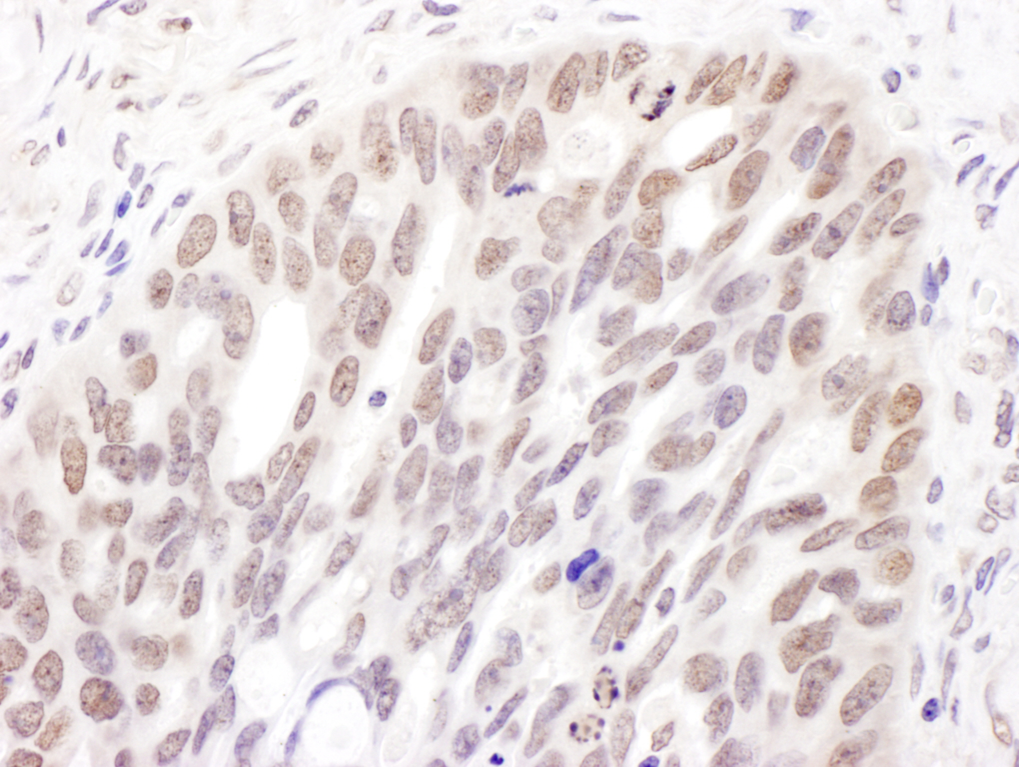
Protein function: Required for genome-wide de novo methylation and is essential for the... mehr
Produktinformationen "Anti-DNMT3A"
Protein function: Required for genome-wide de novo methylation and is essential for the establishment of DNA methylation patterns during development. DNA methylation is coordinated with methylation of histones. It modifies DNA in a non-processive manner and also methylates non-CpG sites. May preferentially methylate DNA linker between 2 nucleosomal cores and is inhibited by histone H1. Plays a role in paternal and maternal imprinting. Required for methylation of most imprinted loci in germ cells. Acts as a transcriptional corepressor for ZBTB18. Recruited to trimethylated 'Lys-36' of histone H3 (H3K36me3) sites. Can actively repress transcription through the recruitment of HDAC activity. [The UniProt Consortium]
| Schlagworte: | Anti-Dnmt3a, Anti-DNMT3A, Anti-M.HsaIIIA, EC=2.1.1.37, Anti-DNA MTase HsaIIIA, Anti-DNA methyltransferase HsaIIIA, Anti-DNA (cytosine-5)-methyltransferase 3A |
| Hersteller: | Bethyl Laboratories |
| Hersteller-Nr: | A304-278A |
Eigenschaften
| Anwendung: | WB, IP, IHC |
| Antikörper-Typ: | Polyclonal |
| Konjugat: | No |
| Wirt: | Rabbit |
| Spezies-Reaktivität: | human, mouse (Erwartet: orangutan, rhesus monkey, gorilla, crab-eating macaque, northern white-cheeked gibbon) |
| Immunogen: | synthetic peptide. The epitope recognized by A304-278A-T maps to a region between residue 125 to 175 of human DNA (cytosine-5-)-Methyltransferase 3 Alpha using the numbering given in entry NP_783328.1 (GeneID 1788). |
| Format: | Antigen Affinity Purified |
Datenbank Information
| KEGG ID : | K17398 | Passende Produkte |
| UniProt ID : | Q9Y6K1 | Passende Produkte |
| Gene ID : | GeneID 1788 | Passende Produkte |
Handhabung & Sicherheit
| Lagerung: | +4°C |
| Versand: | +4°C (International: +4°C) |
Achtung
Nur für Forschungszwecke und Laboruntersuchungen: Nicht für die Anwendung im oder am Menschen!
Nur für Forschungszwecke und Laboruntersuchungen: Nicht für die Anwendung im oder am Menschen!
Hier folgen Informationen zur Produktreferenz.
mehr
Hier kriegen Sie ein Zertifikat
Loggen Sie sich ein oder registrieren Sie sich, um Analysenzertifikate anzufordern.
Bewertungen lesen, schreiben und diskutieren... mehr
Kundenbewertungen für "Anti-DNMT3A"
Bewertung schreiben
Loggen Sie sich ein oder registrieren Sie sich, um eine Produktbewertung abzugeben.
Zuletzt angesehen