Cookie-Einstellungen
Diese Website benutzt Cookies, die für den technischen Betrieb der Website erforderlich sind und stets gesetzt werden. Andere Cookies, die den Komfort bei Benutzung dieser Website erhöhen, der Direktwerbung dienen oder die Interaktion mit anderen Websites und sozialen Netzwerken vereinfachen sollen, werden nur mit Ihrer Zustimmung gesetzt.
Konfiguration
Technisch erforderlich
Diese Cookies sind für die Grundfunktionen des Shops notwendig.
"Alle Cookies ablehnen" Cookie
"Alle Cookies annehmen" Cookie
Ausgewählter Shop
CSRF-Token
Cookie-Einstellungen
FACT-Finder Tracking
Individuelle Preise
Kundenspezifisches Caching
Session
Währungswechsel
Komfortfunktionen
Diese Cookies werden genutzt um das Einkaufserlebnis noch ansprechender zu gestalten, beispielsweise für die Wiedererkennung des Besuchers.
Facebook-Seite in der rechten Blog - Sidebar anzeigen
Merkzettel
Statistik & Tracking
Endgeräteerkennung
Kauf- und Surfverhalten mit Google Tag Manager
Partnerprogramm
| Artikelnummer | Größe | Datenblatt | Manual | SDB | Lieferzeit | Menge | Preis |
|---|---|---|---|---|---|---|---|
| NSJ-V9338SAF-100UG | 100 µg | - | - |
3 - 10 Werktage* |
810,00 €
|
Bei Fragen nutzen Sie gerne unser Kontaktformular.
Bestellen Sie auch per E-Mail: info@biomol.com
Größere Menge gewünscht? Bulk-Anfrage
Bestellen Sie auch per E-Mail: info@biomol.com
Größere Menge gewünscht? Bulk-Anfrage
1 mg/ml in 1X PBS, BSA free, sodium azide free. Fatty acid-binding proteins, designated FABPs,... mehr
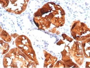
Produktinformationen "Anti-FABP1, clone FABP1/3485"
1 mg/ml in 1X PBS, BSA free, sodium azide free. Fatty acid-binding proteins, designated FABPs, are a family of homologous cytoplasmic proteins that are expressed in a highly tissue-specific manner and play an integral role in the balance between lipid and carbohydrate metabolism. FABPs mediate fatty acid (FA) and/or hydrophobic ligand uptake, transport and targeting within their respective tissues. The mechanisms underlying these actions can give rise to both passive diffusional uptake and protein-mediated transmembrane transport of FAs. FABPs are expressed in adipocytes (A-FABP), brain (B-FABP), epithelium (E-FABP, psoriasis-associated FABP, PA-FABP), striated muscle and heart (H-FABP, mammary-derived growth inhibitor or MDGI), intestine (I-FABP), liver (L-FABP or FABP1), myelin (M-FABP) and testis (T-FABP). FABP1 (L-FABP) expression is modulated by developmental, hormonal, dietary and pharmacological factors, and is required for cholesterol synthesis and metabolism. Protein function: Plays a role in lipoprotein-mediated cholesterol uptake in hepatocytes (PubMed:25732850). Binds cholesterol (PubMed:25732850). Binds free fatty acids and their coenzyme A derivatives, bilirubin, and some other small molecules in the cytoplasm. May be involved in intracellular lipid transport. [The UniProt Consortium]
| Schlagworte: | Anti-FABPL, Anti-FABP1, Anti-L-FABP, Anti-Fatty acid-binding protein 1, Anti-Fatty acid-binding protein, liver, Anti-Liver-type fatty acid-binding protein, FABP1 Antibody |
| Hersteller: | NSJ Bioreagents |
| Hersteller-Nr: | V9338SAF |
Eigenschaften
| Anwendung: | WB, IHC (paraffin) |
| Antikörper-Typ: | Monoclonal |
| Klon: | FABP1/3485 |
| Konjugat: | No |
| Wirt: | Mouse |
| Spezies-Reaktivität: | human |
| Immunogen: | A portin of amino acids 1-127 from the human protein |
| Format: | Metabolism |
Datenbank Information
| KEGG ID : | K08750 | Passende Produkte |
| UniProt ID : | P07148 | Passende Produkte |
| Gene ID : | GeneID 2168 | Passende Produkte |
Handhabung & Sicherheit
| Lagerung: | -20°C |
| Versand: | -20°C (International: -20°C) |
Achtung
Nur für Forschungszwecke und Laboruntersuchungen: Nicht für die Anwendung im oder am Menschen!
Nur für Forschungszwecke und Laboruntersuchungen: Nicht für die Anwendung im oder am Menschen!
Hier folgen Informationen zur Produktreferenz.
mehr
Hier kriegen Sie ein Zertifikat
Loggen Sie sich ein oder registrieren Sie sich, um Analysenzertifikate anzufordern.
Bewertungen lesen, schreiben und diskutieren... mehr
Kundenbewertungen für "Anti-FABP1, clone FABP1/3485"
Bewertung schreiben
Loggen Sie sich ein oder registrieren Sie sich, um eine Produktbewertung abzugeben.
Zuletzt angesehen