Cookie-Einstellungen
Diese Website benutzt Cookies, die für den technischen Betrieb der Website erforderlich sind und stets gesetzt werden. Andere Cookies, die den Komfort bei Benutzung dieser Website erhöhen, der Direktwerbung dienen oder die Interaktion mit anderen Websites und sozialen Netzwerken vereinfachen sollen, werden nur mit Ihrer Zustimmung gesetzt.
Konfiguration
Technisch erforderlich
Diese Cookies sind für die Grundfunktionen des Shops notwendig.
"Alle Cookies ablehnen" Cookie
"Alle Cookies annehmen" Cookie
Ausgewählter Shop
CSRF-Token
Cookie-Einstellungen
FACT-Finder Tracking
Individuelle Preise
Kundenspezifisches Caching
Session
Währungswechsel
Komfortfunktionen
Diese Cookies werden genutzt um das Einkaufserlebnis noch ansprechender zu gestalten, beispielsweise für die Wiedererkennung des Besuchers.
Facebook-Seite in der rechten Blog - Sidebar anzeigen
Merkzettel
Statistik & Tracking
Endgeräteerkennung
Kauf- und Surfverhalten mit Google Tag Manager
Partnerprogramm
| Artikelnummer | Größe | Datenblatt | Manual | SDB | Lieferzeit | Menge | Preis |
|---|---|---|---|---|---|---|---|
| NSJ-R36390-100UG | 100 µg | - | - |
3 - 10 Werktage* |
836,00 €
|
Bei Fragen nutzen Sie gerne unser Kontaktformular.
Bestellen Sie auch per E-Mail: info@biomol.com
Größere Menge gewünscht? Bulk-Anfrage
Bestellen Sie auch per E-Mail: info@biomol.com
Größere Menge gewünscht? Bulk-Anfrage
0.5 mg/ml in 1X TBS, pH7.3, with 0.5% BSA (US sourced) and 0.02% sodium azide. Additional name(s)... mehr
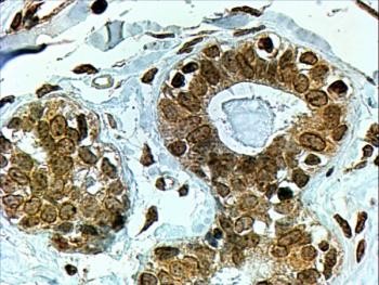
Produktinformationen "Anti-CYP7B1"
0.5 mg/ml in 1X TBS, pH7.3, with 0.5% BSA (US sourced) and 0.02% sodium azide. Additional name(s) for this target protein: Cytochrome P450, family 7, subfamily B, polypeptide 1
| Schlagworte: | Anti-CYP7B1, EC=1.14.13.100, Anti-Cytochrome P450 7B1, Anti-Oxysterol 7-alpha-hydroxylase, Anti-25-hydroxycholesterol 7-alpha-hydroxylase, CYP7B1 Antibody |
| Hersteller: | NSJ Bioreagents |
| Hersteller-Nr: | R36390 |
Eigenschaften
| Anwendung: | IHC, ELISA (peptide) |
| Antikörper-Typ: | Polyclonal |
| Konjugat: | No |
| Wirt: | Goat |
| Spezies-Reaktivität: | human |
| Immunogen: | Amino acids YPDSDVLFRYKVKS were used as the immunogen for this CYP7B1 antibody. |
| Format: | Purified |
Datenbank Information
| KEGG ID : | K07430 | Passende Produkte |
| UniProt ID : | O75881 | Passende Produkte |
| Gene ID : | GeneID 9420 | Passende Produkte |
Handhabung & Sicherheit
| Lagerung: | -20°C |
| Versand: | +4°C (International: +4°C) |
Achtung
Nur für Forschungszwecke und Laboruntersuchungen: Nicht für die Anwendung im oder am Menschen!
Nur für Forschungszwecke und Laboruntersuchungen: Nicht für die Anwendung im oder am Menschen!
Hier folgen Informationen zur Produktreferenz.
mehr
Hier kriegen Sie ein Zertifikat
Loggen Sie sich ein oder registrieren Sie sich, um Analysenzertifikate anzufordern.
Bewertungen lesen, schreiben und diskutieren... mehr
Kundenbewertungen für "Anti-CYP7B1"
Bewertung schreiben
Loggen Sie sich ein oder registrieren Sie sich, um eine Produktbewertung abzugeben.
Zuletzt angesehen