Cookie-Einstellungen
Diese Website benutzt Cookies, die für den technischen Betrieb der Website erforderlich sind und stets gesetzt werden. Andere Cookies, die den Komfort bei Benutzung dieser Website erhöhen, der Direktwerbung dienen oder die Interaktion mit anderen Websites und sozialen Netzwerken vereinfachen sollen, werden nur mit Ihrer Zustimmung gesetzt.
Konfiguration
Technisch erforderlich
Diese Cookies sind für die Grundfunktionen des Shops notwendig.
"Alle Cookies ablehnen" Cookie
"Alle Cookies annehmen" Cookie
Ausgewählter Shop
CSRF-Token
Cookie-Einstellungen
FACT-Finder Tracking
Individuelle Preise
Kundenspezifisches Caching
Session
Währungswechsel
Komfortfunktionen
Diese Cookies werden genutzt um das Einkaufserlebnis noch ansprechender zu gestalten, beispielsweise für die Wiedererkennung des Besuchers.
Facebook-Seite in der rechten Blog - Sidebar anzeigen
Merkzettel
Statistik & Tracking
Endgeräteerkennung
Kauf- und Surfverhalten mit Google Tag Manager
Partnerprogramm
| Artikelnummer | Größe | Datenblatt | Manual | SDB | Lieferzeit | Menge | Preis |
|---|---|---|---|---|---|---|---|
| ARG40690.50 | 50 µg | - | - |
6 - 14 Werktage* |
551,00 €
|
Bei Fragen nutzen Sie gerne unser Kontaktformular.
Bestellen Sie auch per E-Mail: info@biomol.com
Größere Menge gewünscht? Bulk-Anfrage
Bestellen Sie auch per E-Mail: info@biomol.com
Größere Menge gewünscht? Bulk-Anfrage
Protein function: Structural component of specialized membrane microdomains known as... mehr
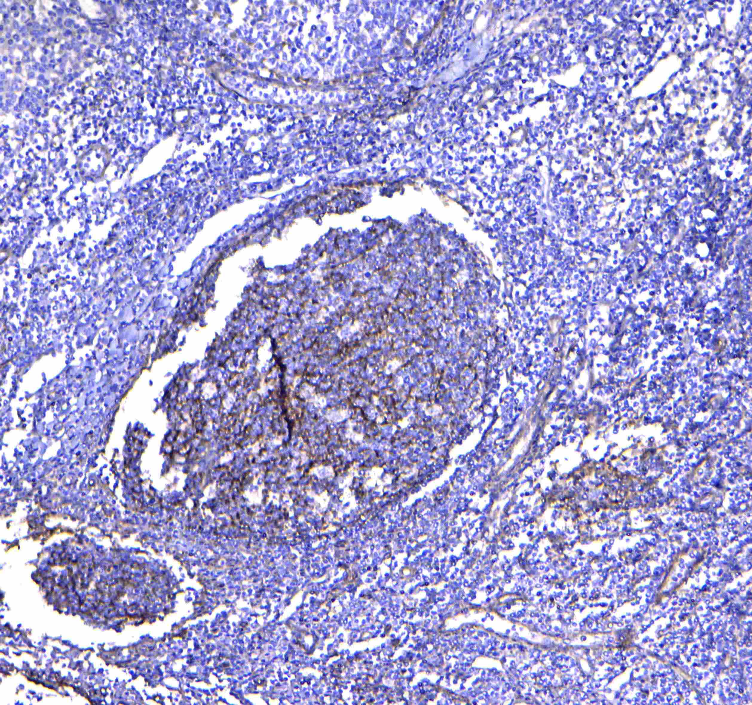
Produktinformationen "Anti-CD81"
Protein function: Structural component of specialized membrane microdomains known as tetraspanin-enriched microdomains (TERMs), which act as platforms for receptor clustering and signaling. Essential for trafficking and compartmentalization of CD19 receptor on the surface of activated B cells (PubMed:20237408, PubMed:27881302, PubMed:16449649). Upon initial encounter with microbial pathogens, enables the assembly of CD19-CR2/CD21 and B cell receptor (BCR) complexes at signaling TERMs, lowering the threshold dose of antigen required to trigger B cell clonal expansion and antibody production (PubMed:15161911, PubMed:20237408). In T cells, facilitates the localization of CD247/CD3 zeta at antigen-induced synapses with B cells, providing for costimulation and polarization toward T helper type 2 phenotype (PubMed:22307619, PubMed:23858057, PubMed:8766544). Present in MHC class II compartments, may also play a role in antigen presentation (PubMed:8409388, PubMed:8766544). Can act both as positive and negative regulator of homotypic or heterotypic cell-cell fusion processes. Positively regulates sperm-egg fusion and may be involved in acrosome reaction. In myoblasts, associates with CD9 and PTGFRN and inhibits myotube fusion during muscle regeneration. In macrophages, associates with CD9 and beta-1 and beta-2 integrins, and prevents macrophage fusion into multinucleated giant cells specialized in ingesting complement- opsonized large particles (PubMed:12796480). Also prevents the fusion of mononuclear cell progenitors into osteoclasts in charge of bone resorption. May regulate the compartmentalization of enzymatic activities. In T cells, defines the subcellular localization of dNTPase SAMHD1 and permits its degradation by the proteasome, thereby controlling intracellular dNTP levels (PubMed:28871089). Also involved in cell adhesion and motility. Positively regulates integrin-mediated adhesion of macrophages, particularly relevant for the inflammatory response in the lung. [The UniProt Consortium]
| Schlagworte: | Anti-CD81, Anti-Tspan-28, Anti-CD81 antigen, Anti-Tetraspanin-28, Anti-26 kDa cell surface protein TAPA-1, Anti-Target of the antiproliferative antibody 1 |
| Hersteller: | Arigo Biolaboratories |
| Hersteller-Nr: | ARG40690 |
Eigenschaften
| Anwendung: | FC, IHC (paraffin), WB |
| Antikörper-Typ: | Polyclonal |
| Konjugat: | No |
| Wirt: | Rabbit |
| Spezies-Reaktivität: | human, mouse |
| Immunogen: | Recombinant protein corresponding to F113-K201 of Human CD81 |
| MW: | 26 kD |
Datenbank Information
| KEGG ID : | K06508 | Passende Produkte |
| UniProt ID : | P60033 | Passende Produkte |
| Gene ID : | GeneID 975 | Passende Produkte |
Handhabung & Sicherheit
| Lagerung: | -20°C |
| Versand: | +4°C (International: °C) |
Achtung
Nur für Forschungszwecke und Laboruntersuchungen: Nicht für die Anwendung im oder am Menschen!
Nur für Forschungszwecke und Laboruntersuchungen: Nicht für die Anwendung im oder am Menschen!
Hier folgen Informationen zur Produktreferenz.
mehr
Hier kriegen Sie ein Zertifikat
Loggen Sie sich ein oder registrieren Sie sich, um Analysenzertifikate anzufordern.
Bewertungen lesen, schreiben und diskutieren... mehr
Kundenbewertungen für "Anti-CD81"
Bewertung schreiben
Loggen Sie sich ein oder registrieren Sie sich, um eine Produktbewertung abzugeben.
Zuletzt angesehen