Diese Website benutzt Cookies, die für den technischen Betrieb der Website erforderlich sind und stets gesetzt werden. Andere Cookies, die den Komfort bei Benutzung dieser Website erhöhen, der Direktwerbung dienen oder die Interaktion mit anderen Websites und sozialen Netzwerken vereinfachen sollen, werden nur mit Ihrer Zustimmung gesetzt.
Konfiguration
Technisch erforderlich
Diese Cookies sind für die Grundfunktionen des Shops notwendig.
"Alle Cookies ablehnen" Cookie
"Alle Cookies annehmen" Cookie
Ausgewählter Shop
CSRF-Token
Cookie-Einstellungen
FACT-Finder Tracking
Individuelle Preise
Kundenspezifisches Caching
Session
Währungswechsel
Komfortfunktionen
Diese Cookies werden genutzt um das Einkaufserlebnis noch ansprechender zu gestalten, beispielsweise für die Wiedererkennung des Besuchers.
Facebook-Seite in der rechten Blog - Sidebar anzeigen
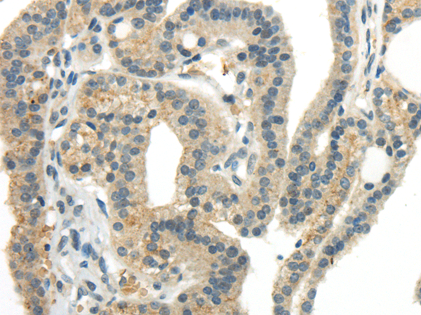
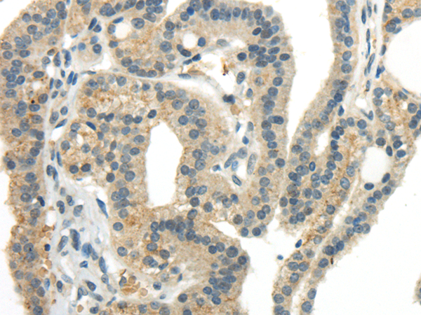
This gene is one of several Cys-Cys (CC) cytokine genes clustered on the q-arm of chromosome 17. Cytokines are a family of secreted proteins involved in immunoregulatory and inflammatory processes. The CC cytokines are proteins characterized by two adjacent cysteines. The cytokine encoded by this gene displays chemotactic activity for monocytes, lymphocytes, basophils and eosinophils, but not neutrophils. This chemokine plays a role in accumulation of leukocytes during inflammation. It may also be involved in the recruitment of monocytes into the arterial wall during artherosclerosis. Protein function: Chemotactic factor that attracts monocytes, lymphocytes, basophils and eosinophils, but not neutrophils. Signals through CCR2B and CCR3 receptors. Plays a role in the accumulation of leukocytes at both sides of allergic and non-allergic inflammation. May be involved in the recruitment of monocytes into the arterial wall during the disease process of atherosclerosis. May play a role in the monocyte attraction in tissues chronically exposed to exogenous pathogens. [The UniProt Consortium]
Diese Website benutzt Cookies, die für den technischen Betrieb der Website erforderlich sind und stets gesetzt werden. Andere Cookies, die den Komfort bei Benutzung dieser Website erhöhen, der Direktwerbung dienen oder die Interaktion mit anderen Websites und sozialen Netzwerken vereinfachen sollen, werden nur mit Ihrer Zustimmung gesetzt.
Mehr Informationen