Cookie-Einstellungen
Diese Website benutzt Cookies, die für den technischen Betrieb der Website erforderlich sind und stets gesetzt werden. Andere Cookies, die den Komfort bei Benutzung dieser Website erhöhen, der Direktwerbung dienen oder die Interaktion mit anderen Websites und sozialen Netzwerken vereinfachen sollen, werden nur mit Ihrer Zustimmung gesetzt.
Konfiguration
Technisch erforderlich
Diese Cookies sind für die Grundfunktionen des Shops notwendig.
"Alle Cookies ablehnen" Cookie
"Alle Cookies annehmen" Cookie
Ausgewählter Shop
CSRF-Token
Cookie-Einstellungen
FACT-Finder Tracking
Individuelle Preise
Kundenspezifisches Caching
Session
Währungswechsel
Komfortfunktionen
Diese Cookies werden genutzt um das Einkaufserlebnis noch ansprechender zu gestalten, beispielsweise für die Wiedererkennung des Besuchers.
Facebook-Seite in der rechten Blog - Sidebar anzeigen
Merkzettel
Statistik & Tracking
Endgeräteerkennung
Kauf- und Surfverhalten mit Google Tag Manager
Partnerprogramm
| Artikelnummer | Größe | Datenblatt | Manual | SDB | Lieferzeit | Menge | Preis |
|---|---|---|---|---|---|---|---|
| 200-301-H63 | 100 µg | - | - |
6 - 10 Werktage* |
1.021,00 €
|
Bei Fragen nutzen Sie gerne unser Kontaktformular.
Bestellen Sie auch per E-Mail: info@biomol.com
Größere Menge gewünscht? Bulk-Anfrage
Bestellen Sie auch per E-Mail: info@biomol.com
Größere Menge gewünscht? Bulk-Anfrage
Anti-Caspase-3 Antibody was purified by Protein G chromatography. A BLAST analysis was used to... mehr
Produktinformationen "Anti-Caspase-3, clone 31A1067"
Anti-Caspase-3 Antibody was purified by Protein G chromatography. A BLAST analysis was used to suggest cross-reactivity with Anti-Caspase-3 from Human, mouse and rat based on 100% homology with the immunizing sequence. Cross-reactivity with Anti-Caspase-3 from other sources has not been determined. Protein function: Involved in the activation cascade of caspases responsible for apoptosis execution. At the onset of apoptosis it proteolytically cleaves poly(ADP-ribose) polymerase (PARP) at a '216-Asp-, -Gly-217' bond. Cleaves and activates sterol regulatory element binding proteins (SREBPs) between the basic helix-loop- helix leucine zipper domain and the membrane attachment domain. Cleaves and activates caspase-6, -7 and -9. Involved in the cleavage of huntingtin. Triggers cell adhesion in sympathetic neurons through RET cleavage. [The UniProt Consortium]
| Schlagworte: | Anti-CASP3, Anti-CPP32, EC=3.4.22.56 |
| Hersteller: | Rockland Immunochemicals |
| Hersteller-Nr: | 200-301-H63 |
Eigenschaften
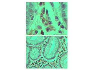
| Anwendung: | IHC, WB |
| Antikörper-Typ: | Monoclonal |
| Klon: | 31A1067 |
| Konjugat: | No |
| Wirt: | Mouse |
| Spezies-Reaktivität: | human |
| Immunogen: | full length recombinant Caspase-3 human protein. |
| Format: | Purified |
Datenbank Information
| KEGG ID : | K02187 | Passende Produkte |
| UniProt ID : | P42574 | Passende Produkte |
| Gene ID : | GeneID 836 | Passende Produkte |
Handhabung & Sicherheit
| Lagerung: | -20°C |
| Versand: | -20°C (International: -20°C) |
Achtung
Nur für Forschungszwecke und Laboruntersuchungen: Nicht für die Anwendung im oder am Menschen!
Nur für Forschungszwecke und Laboruntersuchungen: Nicht für die Anwendung im oder am Menschen!
Hier folgen Informationen zur Produktreferenz.
mehr
Hier kriegen Sie ein Zertifikat
Loggen Sie sich ein oder registrieren Sie sich, um Analysenzertifikate anzufordern.
Bewertungen lesen, schreiben und diskutieren... mehr
Kundenbewertungen für "Anti-Caspase-3, clone 31A1067"
Bewertung schreiben
Loggen Sie sich ein oder registrieren Sie sich, um eine Produktbewertung abzugeben.
Zuletzt angesehen